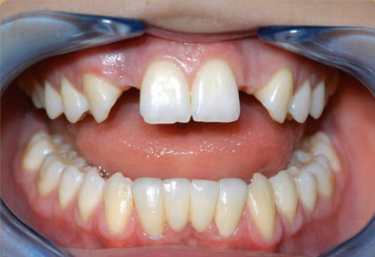
Qu’estce qu’un implant dentaire ?
Un implant dentaire est une vis en titane insérée dans l’os de la mâchoire pour remplacer la racine d’une dent manquante. Une fois l’implant intégré (ostéointégration), une couronne sur mesure est fixée, rétablissant ainsi l’apparence et la fonction d’une dent naturelle.
Pourquoi choisir un implant dentaire ?
Un résultat naturel et esthétique
L'implant s'intègre parfaitement aux dents existantes, offrant un sourire harmonieux.
Un confort optimal
Aucun incofort ni irritation, contrairement aux appareils amovibles
Une solution durable
Avec un entretien adéquat, un implant peut durer toute une vie
Préservation des dents adjacentes
Contrairement aux bridges, il n'est pas nécessaire de modifier les dents voisines
Le processus en detail
Chez Esthetic Dubai, chaque étape est soigneusement orchestrée pour garantir un résultat durable et naturel.
Consultation et bilan 3D
Analyse précise de la machoire et purification personnalisée grâce à l'imagérie 3D
Pose de l'implant
Intervention rapide et peu invasive sous anesthésie locale.
Cicatrisation
L'implant d'intègre à l'os (ostéointégration) sur plusieurs sémaines.
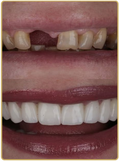
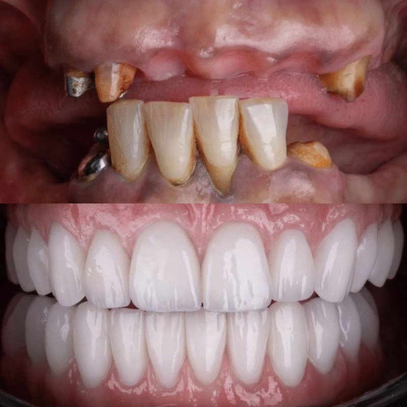
Pose de la couronne
Une couronne esthétique et résistante est fixée pour restaurer la dent.
Un investissement pour votre bien Etre
Opter pour un implant dentaire, c’est choisir une solution durable qui allie confort, esthétique et performance. Chez Esthetic Dubai, nous utilisons des matériaux haut de gamme et des techniques de pointe pour garantir des résultats sûrs, durables et parfaitement adaptés à vos besoins.
Envie de retrouver un sourire éclatant et une mastication optimale ?
Prenez rendez-vous dès aujourd’hui avec nos spécialistes.
Avec nos implants dentaires, votre sourire retrouve toute sa splendeur.
Découvrez notre qualité
Remplissez le formulaire pour obtenir un plan de traitement personnalisé et une estimation de prix auprès de nos experts dentaires.
Mouna.
Team Nasdas★
★
★
★
★
J’y suis venue chez ESTHETIC DUBAI pour refaire mon smile avec des facettes, et laisse tomber… c’est une dinguerie ! L’accueil, le taf, l’ambiance… tout est carré de ouf. Ils m’ont mis bien, j’me sens fraîche comme jamais. Même Nasdas il a validé direct ! Maintenant quand je souris, c’est que du lourd, y’a plus d’complexe wallah. Si t’as besoin d’un vrai taf clean, va là-bas les yeux fermés. Big love à l’équipe, vous gérez de fou !
Dinor
Rappeur★
★
★
★
★
Franchement, c’est une dinguerie ! Tout s’est fait rapidement et sans prise de tête. Le résultat est incroyable, bien au-delà de ce que j’espérais. Je valide à 100% !
Marwa Lou.
Artiste★
★
★
★
★
Franchement, j’ai vécu une super expérience chez ESTHETIC DUBAI. Je suis venue pour faire un blanchiment dentaire, et j’ai été vraiment touchée par la gentillesse de toute l’équipe. Ils m’ont mise à l’aise direct, tout s’est passé dans la bonne humeur, avec beaucoup de professionnalisme. Le résultat est incroyable, super naturel, exactement ce que je voulais. Merci pour tout, vous avez changé mon sourire et boosté ma confiance
Maes.
Rappeur★
★
★
★
★
C’est une pépite ! Tout s’est fait rapidement, sans prise de tête, et le résultat est juste incroyable. Clairement validé, foncez !
Nabilflix.
Influenceur★
★
★
★
★
Je voulais refaire mes dents chez ESTHETIC DUBAI, ils m’ont fait un sourire sur-mesure, clean, naturel, avec une vraie touche d’élégance. Maintenant j’ai le smile confiant, classe mais sans forcer. Franchement, c’est validé fort. Merci à vous pour ce taf carré et l’énergie positive !
Ines Hmz.
Influenceuse★
★
★
★
★
Je voulais refaire mes dents chez ESTHETIC DUBAI, ils m’ont fait un sourire sur-mesure, clean, naturel, avec une vraie touche d’élégance. Maintenant j’ai le smile confiant, classe mais sans forcer. Franchement, c’est validé fort. Merci à vous pour ce taf carré et l’énergie positive !